01803 833800
Eunique
1 Market Street
Dartmouth TQ6 9QE
01803 833800
Monday: Closed
Tuesday: 8.00-18.00
Wednesday: 9.00-17.00
Thursday: 8.00-19.00
Friday: 9.00-16.00
Home
About
Nervous Patient Promise
TREATMENTS
Crowns
Dental Implants
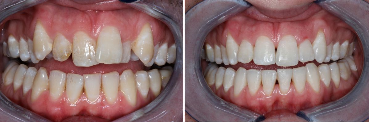
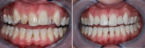
Six Month Smile
Tooth Whitening
Veneers
FEES & PLANS
BLOG
Contact
Select Page
sixmonthsmiles-2
Search for: